My accidents seem to fall into two epochs: before 2000, involving some type of downhill slope, and after that (slow-motion falling).
High(er)-speed downhill spills (before 2000):
- 44 stitches in my right arm after falling off a skateboard
(Downhill skateboarding and gravel do not mix)
- Third-degree burn scars on right shoulder from a cooking accident.
(It was a "spill", just involving lots of extremely hot bacon grease. The grease is what travelled downhill.)
- 6 stitches in my right hip after falling off my bike.
(Well, I went downhill relative to the bike path --- it started uphill and I didn't.)
- 6 stitches over my right kneecap after falling off my bike.
(Page Mill Road, near Skyline)
- Broken pelvis (the left ischium) after falling off my bike.
(Page Mill Road, near Altamont Rd)
- Nerve damage in my left foot from (you guessed!) biking.
(Not a "spill" and it was uphill --- from Chico to Susanville --- but the only damage from this period that still acts up.)
- Broken tailbone after falling off a snowboard. (Tahoe)
Less memorable spills have resulted in sprained ankles, lots of road rash, and a couple of "potato chipped" bike wheels.
Slow-motion falls:
- Chipped right ankle bone in a hiking (ok, walking) accident. (Black Mountain Rd, near Altamont Rd)
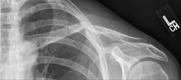
- Broken left collar bone after falling off my bike. (bridge over Adobe Creek on East Bayshore Rd)
The bone was too badly shattered to allow natural healing, so I had a metal plate inserted 10 days after the break, with bone putty to try to guide and speed up bone regeneration. The screws holding the plate backed out and abraded inside of skin, so the same doctor removed the plate after 6 months. The bone broke again 6 days later under light use. A new surgeon worked to fix it by running a threaded rod put down the center of the bone, held in position by a "nut" that sticks out of the back of the shoulder joint. (This is a fairly new procedure and has only been in general use for 1-2 years.) That pin pierced the collarbone and wound up sticking out the front of the bone, threatening to puncture the skin and creating a "teeter-totter" effect for the two halves of my collarbone (preventing rejoining). The surgeon went back again, removed the original pin, and rethreaded a new, longer pin down the back of the two halves of the bone. So far, this seems to be working well (fingers crossed). I will need to go back for more surgery in 12-24 months to have the pin removed.